At EOCA Lab, innovation meets precision across every facet of prosthodontics and orthodontics at unrivalled value for money.
"We have mastered retention and cured relapse"
"After four years of relentless development and thousands of orthodontic cases treated, I can say with confidence: we have mastered retention—and cured relapse.
Our breakthrough lies not only in one element, but in the synergy of many: innovative designs that respect anatomical nuance and optimized hygiene. In addition, we tailor biocompatible materials that adapt to each patient and have introduced a unique rapid seating capability that transforms chairside efficiency.
The result this? Zero failure rates and No relapse!
Orthodontic retention is no longer a compromise—it’s a certainty. At EOCA Lab, we don’t just follow global standards, we set them.”


At EOCA Lab, innovation meets precision across every facet of prosthodontics and orthodontics at unrivalled value for money.
"We have mastered retention and cured relapse"
"After four years of relentless development and thousands of orthodontic cases treated, I can say with confidence: we have mastered retention—and cured relapse.
Our breakthrough lies not only in one element, but in the synergy of many: innovative designs that respect anatomical nuance and optimized hygiene. In addition, we tailor biocompatible materials that adapt to each patient and have introduced a unique rapid seating capability that transforms chairside efficiency.
The result this? Zero failure rates and No relapse!
Orthodontic retention is no longer a compromise—it’s a certainty. At EOCA Lab, we don’t just follow global standards, we set them.”


At EOCA Lab, innovation meets precision across every facet of prosthodontics and orthodontics at unrivalled value for money.
"We have mastered retention and cured relapse"
"After four years of relentless development and thousands of orthodontic cases treated, I can say with confidence: we have mastered retention—and cured relapse.
Our breakthrough lies not only in one element, but in the synergy of many: innovative designs that respect anatomical nuance and optimized hygiene. In addition, we tailor biocompatible materials that adapt to each patient and have introduced a unique rapid seating capability that transforms chairside efficiency.
The result this? Zero failure rates and No relapse!
Orthodontic retention is no longer a compromise—it’s a certainty. At EOCA Lab, we don’t just follow global standards, we set them.”


Benefits
Why Choose Us?
Our commitment to excellence and innovation
Our Lab is committed to delivering innovative and cutting edge technologies to achieve superior patient outcomes.

State of the Art Technology
At EOCA Lab we pride ourselves on utilising the latest advancements in all realms of dental technology. Our state-of-the-art fully digitised processes meet the International Standards Organisation 13485 qualification which ensures that every product meets the highest standards for accuracy and quality.

Innovative Solutions
We believe in pushing the boundaries of excellence of dental care. Our team of dentists, expert technicians and designers collaborate to create innovative solutions tailored to meet the unique needs of every patient. From custom crowns and bridges, advanced implant solutions and unique orthodontic and TMD devices, innovation is at the heart of everything we do.

Exceptional Value
Quality doesn’t have to break the bank. We deliver top-tier dental products while ensuring exceptional value for money. Our efficient processes and competitive pricing make us a preferred choice for dental professionals seeking both quality and affordability.
EOCA LAB
Clinical excellence is our priority
Meticulous attention to detail at our digital lab is essential for creating high-quality, accurately fitting and esthetically pleasing dental restorations and innovative retention devices. This detailed work involves precision in creating digital models and designing restorations, careful material selection, precise shaping, intricate layering for lifelike esthetics and rigorous quality control to ensure proper fit, function and appearance.
The intricate process ensures patient comfort, minimizes potential complications and helps the restorations blend seamlessly with natural teeth.
Why is this important?
Precision Fit: Even minor deviations in measurements can result in poorly fitting restorations and retention devices, leading to patient discomfort and further complication or relapse.
Aesthetic Harmony: Attention to detail in color and morphology ensures that the restorations and devices blend seamlessly with the patients’ dentition.
Functionality: Accurate design and fabrication ensures the restoration or device fits precisely, functions ideally and provides a comfortable occlusion.
Durability: Precision of fit and correct material selection contributes to a more durable and longer lasting restorations and stable esthetic outcome.
Learn about our innovative products here

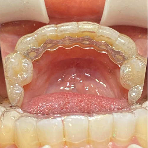
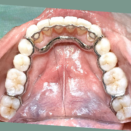
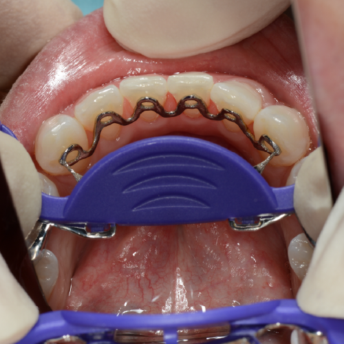
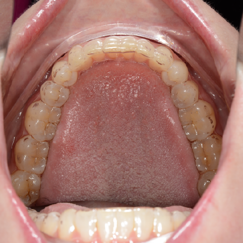
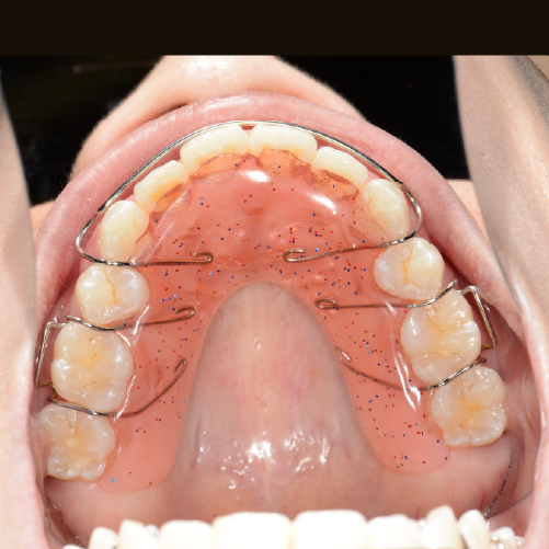
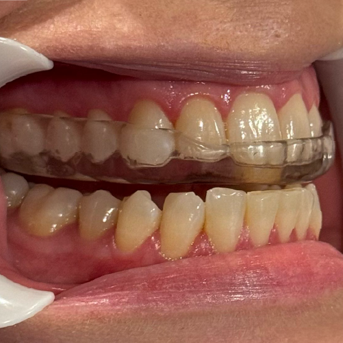
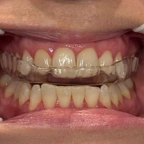
Orthodontic Retention and TMD Appliances
Our unique range of custom appliances offer innovative solutions for effective orthodontic retention and TMD/Bruxism issues.































Crown and Bridge
Precision-crafted for a perfect fit, our extensive range of crowns and bridges are designed to restore functionality while enhancing esthetics.

























Dental Implants
Utilising the latest implant technology, we provide solutions that ensure stability, durability and a natural look and feel.




Veneers
Precision-crafted for a perfect fit, our extensive range veneer materials designed to enhance esthetics.



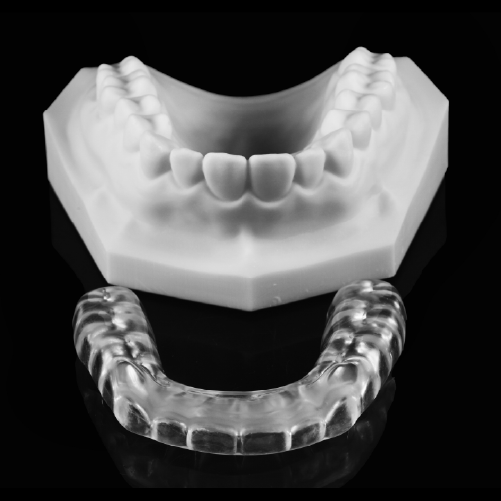
Nightguards
Custom molded night guards manufactured in a variety of hardnesses and materials.




Mouthguards
Custom sports mouthguards available in 2 thicknesses and a wide variety of colors.



Operational
We have over 30+ years in the lab business, creating beautiful smiles for countless patients, at affordable prices for clinicians. We remain family-owned and managed, powered by an experienced team of clinicians, technicians and product experts.
We are always available to discuss any case to help you choose the absolute best solution for your patient.
We are happy to assist always!

Dr. David Penn

Dr. Ryan Dorin
Founder
Experienced And Personable Service
We are experts in the lab business, orthodontics with clear aligners and innovative retention devices and protocols.
Over 45 Years Of Combined Experience
We bring many years of experience together to achieve superb outcomes for patients.
100% Digital with tracking at every stage
We are a fully digital dental lab with all cases being overseen by our expert doctors and technicians.