Hawley Removable Retainers














Retention
Orthodontic Retention is a crucial step in any orthodontic treatment, given relapse can occur very quickly if retention is not managed carefully
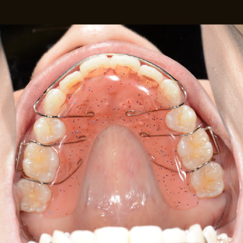
Our Hawley retainers are commonly used to maintain teeth position, particularly after braces have been removed. Named after Dr. Charles A. Hawley, who introduced them in the early 20th century, these retainers have a unique design and specific clinical applications.
The design of our Hawley retainers typically includes a labial bow, which is attached to an acrylic arch that fits against the palate or along the lingual surface of the lower teeth.
Contraindications for Hawley retainers include situations requiring more robust retention or where patient compliance is an issue. Aligner patients may find this retainer design uncomfortable after having minimal soft tissue coverage during treatment.
Advantages of Hawley retainers include:
- durability and adjustability -the metal wire can be adjusted to make minor changes or tweaks to the teeth alignment if needed.
- They are also relatively easy to clean, as they can be removed during meals or when brushing teeth, making oral hygiene more manageable compared to fixed retainers.
Disadvantages of Hawley retainers include
- Potential speech interference, especially when first worn, because the acrylic plate can affect tongue placement.
- They may also feel bulky and can be easily lost or forgotten since they are removable.
Life expectancy
Hawley retainers are quite robust, often lasting several years with proper care. However, over time the acrylic may wear down or the wire may become distorted, requiring adjustments or even replacement. Regular monitoring by the dental healthcare professional is essential.
Spring Hawley Retainer Option
The Spring Hawley retainer is effective at correcting relapse after orthodontic treatment with clear aligners for several reasons:
- Adjustable Components: The embedded springs can apply gentle, controlled pressure to anterior teeth that start shifting or have failed to move during the initial aligner phase. This allows the retainer to make minor realignments without the need for more aligners.
- Customised Fit and Movement: Each Spring on the Hawley retainer is custom-made for each area, ensuring that it fits intimately and effectively moves the teeth to the ideal alignment.
- Durability and Stability: The combination of an acrylic base and a wire framework provides a stable and durable appliance that can maintain the correct position of teeth over time.
- Removability: Being a removable retainer, it’s easier for patients to maintain oral hygiene, compared to fixed retainers. Clean teeth and retainer surfaces help prevent decay and bacterial issues, creating a healthier oral environment.
- Comfort and Adaptability : The flexible nature of the springs and the customized acrylic plate ensure comfort, encouraging consistent wear, which is crucial for preventing relapse.
Overall, the Spring Hawley retainer effectively prevents and corrects relapse through its customizable and adaptable features, ensuring that the teeth remain in the desired position post aligners.








Hawley Spring Removable Retainers



