Infinity Fixed Lingual Retainer
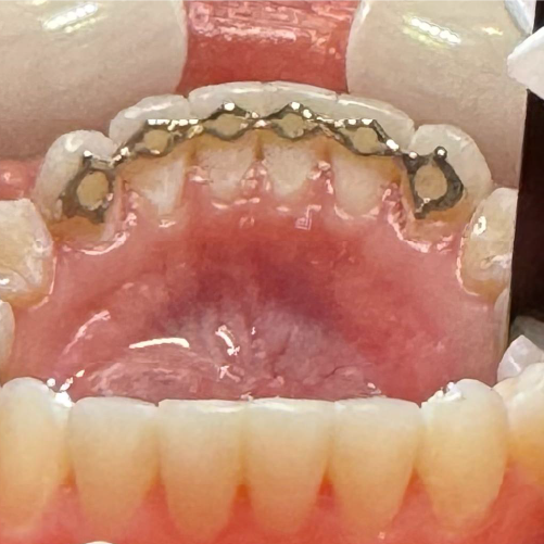
EOCA Lab’s Infinity Fixed Lingual Retainer is a new generation, laser-sintered bar which consists of a series of connected lingual platforms, anatomically designed to intimately engage with the lingual surfaces of the lower anterior teeth.
The bar is rapidly and precisely seated and placed with its unique positioning handle and seating jig and then resin-bonded to the teeth.
The sleek, hygienic profile is quickly accepted into every patients’ oral environment.
State of the art, deadly accurate, periodontally ideal, biocompatible fixed retainer which is easy to seat. A must for every patient!
The Infinity Fixed Lingual retainer is virtually indestructible!
EOCA Lab provides a 20 year warranty against any fractures.
Indication
Indications for Infinity Fixed Lingual Retainers include:
- Spacing
- Lower anterior crowding more than 3mm
- Rotational corrections of more than 10 degrees per tooth
- Severe arch constriction alleviation with more than 1mm of arch expansion and/or 1mm of sagittal movement
- Vertical movements of more than 1mm
- Patients with poor or questionable compliance
Indications for Infinity Fixed Lingual TMO (Tooth Movement Optimised) Retainer include:
- Spacing of more than 1mm
- Lower anterior crowding more than 5mm
- Rotational corrections of more than 15 degrees per tooth
- Severe arch constriction with more than 2mm of arch expansion and/or 2mm of sagittal movement
- Vertical movements of more than 1.5mm
- Patients with poor or questionable compliance
- Spacing
- Lower anterior crowding more than 3mm
- Rotational corrections of more than 10 degrees per tooth
- Severe arch constriction alleviation with more than 1mm of arch expansion and/or 1mm of sagittal movement
- Vertical movements of more than 1mm
- Patients with poor or questionable compliance
- Precise contouring to individual tooth anatomy
- Allows for multiple bonding sites
- Hygienic precise for ideal for hygiene
- Flossable connectors and easy to clean
- Reduced plaque accumulation to maintain gingival health and reduces the risk of decalcification or periodontal issues
Design Choices
There are two distinctive design options, each aimed at differing clinical scenarios.
The Infinity Fixed Lingual Retainer – Straight design features connectors that traverse the interproximal area in a tapered, lineal fashion. This low profile design is ideal for younger patients with minimal embrasures and a lower propensity to accumulate plaque and calcified deposits.
The Infinity Fixed Lingual Retainer – Serpentine option includes connectors that allow for both dental floss and interproximal brushes to pass through and sit below the contact point. This design is perfect for patients with embrasures that are prone to periodontal issues and higher caries rates.
Both designs are available with the option of TMO technology.
Tooth Movement Optimisation (TMO) is a unique algorithm that specifically designs elements incorporated into fixed and removable retainers to mitigate relapse vectors. These features are based on data related to individual tooth movement during orthodontic treatment.




The Infinity Fixed Lingual Retainer - Straight design features connectors that traverse the interproximal area in a tapered, lineal fashion. This new generation, laser-sintered bar has a low profile is ideal for younger patients with minimal embrasures and a lower propensity to accumulate plaque and calcified deposits. The bar is rapidly and precisely seated and placed with its unique positioning handle and seating jig and then resin-bonded to the teeth. The sleek, hygienic profile is quickly accepted into every patients’ oral environment.
The Tooth Movement Optimisation feature can also be integrated into the design.

Infinity Fixed Lingual Bar - Serpentine





The Infinity Fixed Lingual Retainer - Serpentine, is a variation in design that features connectors allowing for dental floss to be used through and beyond the contact points of each of the lower anterior teeth. The connectors are individually designed to integrate into the area below the contact point and the soft tissue and to maximise the comfort with the tongue and soft tissue. The Serpentine option is ideal where oral hygiene may be an issue and larger embrasures exist. The bar is rapidly and precisely seated and placed with its unique positioning handle and seating jig and then resin-bonded to the teeth. The Tooth Movement Optimisation feature can also be integrated into the design.

Infinity Straight/Serpentine TMO














The Infinity Fixed Lingual Retainer TMO is an iteration that features the innovative “Tooth Movement Optimisation” algorithm which is a breakthrough in individual tooth relapse mitigation. The TMO option is ideal for patients who have had more complex movements and teeth with a higher propensity to relapse (particularly rotation and arch expansion). By utilising the figures from the tooth movement table, our algorithm designs the morphology of each retentive element to offset relapse force vectors.
Material Choices
There are 2 choices of materials for the Infinity, these are Cobalt Chromium (Co-Cr) and Titanium (plus a choice of 6 colours).
These alloys are well-known for their biocompatibility. Titanium, in particular, forms a stable oxide layer that enhances its resistance to corrosion and reduces the risk of adverse biological reactions.
These metals have been extensively studied and have demonstrated less likelihood of causing allergic or inflammatory responses in the human body, making them suitable for long-term use in dental applications.
Manufacturing Process
Our Infinity retainers are manufactured by Selective Laser Melting (SLM), an additive manufacturing technology that uses a high-power laser to fully melt and fuse metallic powders into dense, functional components.
SLM produces near-fully dense parts (≥99.9%) with mechanical properties comparable to wrought materials, making it a preferred method for aerospace, medical, and tooling industries.
This technology’s ability to create complex geometries with high accuracy that eliminates any design constraints imposed by traditional subtractive or formative methods, makes it the perfect choice for custom fixed and removable retainers.
Seating, Cementing and Polishing

Steps 1 - 3
1. Prophylaxis and scaling is performed in the lower
anterior region, 48 hours prior to cementation.
2.Removing biofilm from the lingual surfaces of the
lower anterior teeth is essential before bonding.
3.Use a prophy-jet or an ultrasonic scaler to remove
any remaining biofilm. Use of a prophy jet with a
suitable cleaning powder to remove interproximal
biofilm is especially effective for hard-to-reach areas.

Step 4
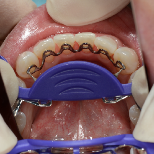
Try the Infinity device in, by holding the handle and fully seating the bar and positioning pads on the premolars. Check the fit thoroughly, ensuring no gaps can be seen between the bar platforms and the enamel surfaces.

Step 5 - 6
5. Etch the enamel surface with phosphoric acid,
wash and then dry the area thoroughly.
6. Thoroughly isolate the teeth surfaces to ensure no
moisture is present and place dental floss between
each tooth from the distal of each canine.

Step 7
Apply and cure bonding agent

Step 8
Load composite resin on the fitting concentric ring surface of each platform on the bar, ensuring that all interior voids are filled adequately. Do not place resin under the connectors.

Step 9
Seat the Infinity device firmly and push your thumb or forefinger on the purple finger rest area. This will provide the optimal seating force.

Step 10 - 11
10. Before you light cure and with your finger still engaged
in seating, wipe away the excess resin with a flat plastic
or Half-Hollenback carver. Check that no resin has flowed
into the inter-proximal areas or under the connectors.
11. Cure the Infinity directly above each concentric
ring initially and then at 45 degrees angle above and
below the middle of each ring.

Step 12
Use a tungsten-carbide bur to cut the connecting arms of the Infinity handle.
Step 13 - 16
13. Light cure again about 40 seconds per tooth from the inferior to middle to superior of the lingual bar.
14. Polish the excess composite and check to see that the contact points are not blocked with resin.
15. Fit any ancillary retention or combination TMD devices (Atlas or Hercules) with the Infinity lingual bar in situ.
16. Demonstrate and emphasise the importance of maintenance and monitoring: clean with dental floss and interproximal brushes and educate them to use the d.MISTIFY device to capture their own imagery and periodically share with your practice. (3 monthly is ideal)
